Laminate veneers, also known as facings, are a popular cosmetic dental solution that transforms the appearance of teeth by covering imperfections. Using thin layers of porcelain or composite, veneers provide a natural, long-lasting enhancement to your smile.

At Alanya Dental Clinic, our experts specialize in designing custom laminate veneers to enhance your smile, correct gaps, chips, and discoloration, and achieve the perfect aesthetic. Contact us today for a free consultation and learn how laminate veneers can give you the smile of your dreams.

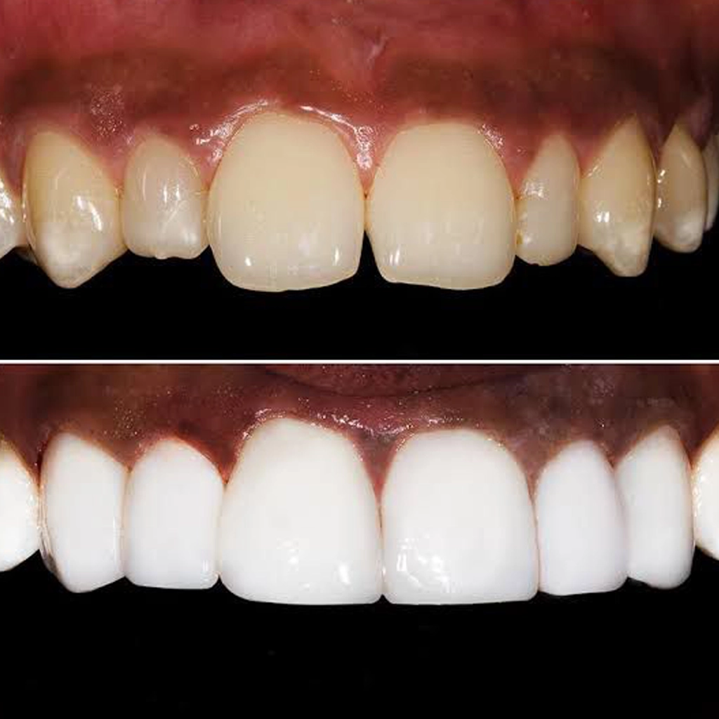
Laminate Veneer Treatment

Our Dental Services

Laminate Veneer Procedure

Start your laminate veneer journey with a free consultation. Send us your dental photographs, and our specialists will assess your smile and recommend the best veneer option for achieving the aesthetic look you desire.

Free Consultation

Our team will carefully evaluate your dental condition and create a personalized veneer treatment plan that aligns with your aesthetic goals. Veneers are a versatile and durable way to enhance your smile while maintaining a natural look.

  • One-on-one consultation with a cosmetic dental expert.
  • Comprehensive analysis of your teeth to determine the best veneer solution.
  • Free creation of a customized laminate veneer treatment plan.

After your consultation, our specialists will design a detailed treatment plan that addresses your aesthetic and functional needs. Laminate veneers are custom-made to fit your teeth perfectly, improving both the appearance and strength of your smile.

Planning

We use the highest-quality materials to create veneers that match your natural tooth color and shape. Our goal is to give you a beautiful, long-lasting smile that looks and feels completely natural.

  • Custom veneer treatment plan tailored to your dental and cosmetic needs.
  • Clear explanation of the veneer procedure and expected results.
  • Guidance on maintaining your new veneers for long-lasting results.

When you arrive at our clinic for your laminate veneer appointment, our team will ensure that the procedure is completed efficiently and comfortably. Veneer application is minimally invasive, requiring little to no anesthesia, and can be completed in just two visits.

Appointment

Using the latest technology and techniques, we ensure that your veneers are applied precisely and look natural. The final result is a flawless, durable smile that enhances your overall appearance.

  • Efficient and comfortable procedure completed in two sessions.
  • High-quality veneers that blend naturally with your teeth.
  • Minimally invasive treatment with long-lasting results.

After your laminate veneer procedure, proper care is essential to maintaining their appearance and longevity. Our team will provide you with personalized aftercare instructions to ensure that your veneers remain in top condition for years to come.

Aftercare

Laminate veneers require the same care as your natural teeth. With regular check-ups and good oral hygiene, your veneers can last for many years, helping you maintain a beautiful, flawless smile.

  • Simple aftercare instructions to ensure long-lasting results.
  • Regular follow-up appointments to monitor the health of your veneers and teeth.
  • Maintain good oral hygiene to prolong the life of your laminate veneers.