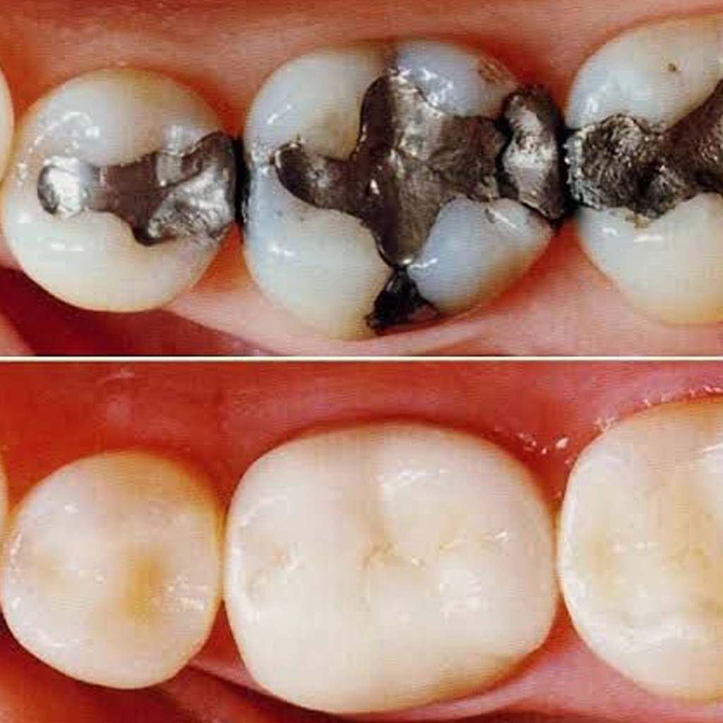
Composite fillings are an effective and aesthetically pleasing solution for restoring teeth that have been affected by decay or damage. Using tooth-colored composite resin, these fillings blend seamlessly with your natural teeth, providing long-lasting results.

At Alanya Dental Clinic, our team of experts specializes in composite fillings, ensuring a comfortable and efficient procedure. Contact us today for a free consultation and learn how composite fillings can restore your teeth while maintaining a natural look.

Composite Filling Treatment

Our Dental Services

Composite Filling Procedure

Start your composite filling journey with a free consultation. Submit your dental X-rays and photographs, and our specialists will assess your condition and recommend the best treatment option for restoring your tooth.

Free Consultation

Our dental experts will carefully evaluate your teeth to determine the best approach for a seamless, natural-looking filling that matches your tooth color.

  • One-on-one consultation with a cosmetic dental expert.
  • Comprehensive analysis of your tooth decay or damage.
  • Free creation of a customized treatment plan for your composite filling.

Following your consultation, our specialist will create a detailed treatment plan. Composite fillings are designed to restore both the function and appearance of the tooth. This treatment can be completed in a single visit, leaving you with long-lasting and natural results.

Planning

We use high-quality, tooth-colored composite materials to ensure the filling blends seamlessly with your natural teeth. Our team focuses on aesthetics and durability, providing fillings that look great and last for years.

  • Custom treatment plan tailored to your dental health needs.
  • Clear explanation of the composite filling process and expected results.
  • Guidance on maintaining your new composite filling for long-lasting results.

When you arrive at our clinic for your composite filling appointment, our team will ensure that the procedure is completed efficiently and comfortably. Composite fillings are minimally invasive and can be completed in one session.

Appointment

Using the latest techniques and materials, we sculpt the composite to match the natural contours of your tooth, ensuring that the filling blends seamlessly and restores the tooth's original strength and appearance.

  • Efficient and comfortable procedure completed in one visit.
  • High-quality composite materials that blend naturally with your teeth.
  • Minimally invasive treatment with long-lasting results.

After your composite filling procedure, maintaining proper oral hygiene is essential for the longevity of the filling. Our team will provide you with personalized aftercare instructions to ensure the filling stays intact and your teeth remain healthy.

Aftercare

Composite fillings require the same care as your natural teeth. With regular check-ups, good oral hygiene, and healthy habits, your filling can last for many years, helping you maintain a beautiful, healthy smile.

  • Simple aftercare instructions to ensure long-lasting results.
  • Regular follow-up appointments to monitor the health of your filling and teeth.
  • Maintain good oral hygiene to prolong the life of your composite filling.